Lompat ke konten Lompat ke sidebar Lompat ke footer

Get Sarcomatoid Carcinoma Bladder Pics

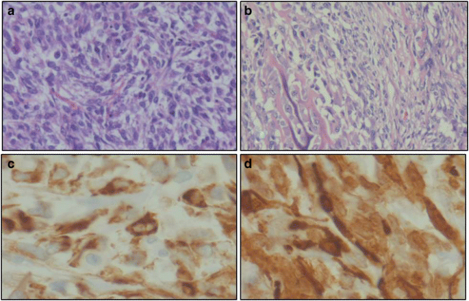
Get Sarcomatoid Carcinoma Bladder Pics. Urinary bladder sarcomatoid carcinoma (carcinosarcoma) is rare. Bladder sarcomatoid carcinoma is a very rare variant of transitional cell carcinoma.

Urinary Bladder Carcinoma With Triplicate Differentiations Into Giant Cell Sarcomatoid Carcinoma Squamous Cell Carcinoma And Papillary Urothelial Transitional Cell Carcinoma A Case Report Cases Journal Full Text
Urinary Bladder Carcinoma With Triplicate Differentiations Into Giant Cell Sarcomatoid Carcinoma Squamous Cell Carcinoma And Papillary Urothelial Transitional Cell Carcinoma A Case Report Cases Journal Full Text from media.springernature.com
Sarcomatoid carcinoma of the urinary bladder. Immunohistochemical and ultrastructural studies of 14 cases. Transitional cell carcinoma is the most prevalent bladder neoplasm.

Sarcomatoid carcinoma is a variant of typical urothelial carcinoma.

Urinary bladder sarcomatoid carcinoma (carcinosarcoma) is rare. Sarcomatoid carcinoma is a variant of typical urothelial carcinoma. Bladder sarcomatoid carcinoma is a very rare variant of transitional cell carcinoma. 1denizli devlet hastanesi patoloji kliniÄŸi.

Posting Komentar untuk "Get Sarcomatoid Carcinoma Bladder Pics"